Product Citations: 2

Powered by

Applications

ICC
WB

Reactivity

Homo sapiens (Human)

Research Area

Genetics
Cancer Research
Biochemistry and Molecular biology

1 image found

Gβγ mediates activation of Rho guanine nucleotide exchange factor ARHGEF17 that promotes metastatic lung cancer progression.

In The Journal of Biological Chemistry on 1 January 2022 by García-Jimenez, I., Cervantes-Villagrana, R. D., et al.

Metastatic lung cancer is a major cause of death worldwide. Dissemination of cancer cells can be facilitated by various agonists within the tumor microenvironment, including by lysophosphatidic acid (LPA). We postulate that Rho guanine nucleotide exchange factors (RhoGEFs), which integrate signaling cues driving cell migration, are critical effectors in metastatic cancer. Specifically, we addressed the hypothetical role of ARHGEF17, a RhoGEF, as a potential effector of Gβγ in metastatic lung cancer cells responding to LPA. Here, we show that ARHGEF17, originally identified as a tumor endothelial marker, is involved in tumor growth and metastatic dissemination of lung cancer cells in an immunocompetent murine model. Gene expression-based analysis of lung cancer datasets showed that increased levels of ARHGEF17 correlated with reduced survival of patients with advanced-stage tumors. Cellular assays also revealed that this RhoGEF participates in the invasive and migratory responses elicited by Gi protein-coupled LPA receptors via the Gβγ subunit complex. We demonstrate that this signaling heterodimer promoted ARHGEF17 recruitment to the cell periphery and actin fibers. Moreover, Gβγ allosterically activates ARHGEF17 by the removal of inhibitory intramolecular restrictions. Taken together, our results indicate that ARHGEF17 may be a valid potential target in the treatment of metastatic lung cancer.Copyright © 2021 The Authors. Published by Elsevier Inc. All rights reserved.

  • Biochemistry and Molecular biology
  • Cancer Research
  • Genetics

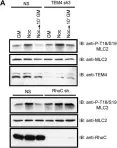
The RhoGEF TEM4 Regulates Endothelial Cell Migration by Suppressing Actomyosin Contractility.

In PLoS ONE on 5 July 2013 by Mitin, N., Rossman, K. L., et al.

Persistent cellular migration requires efficient protrusion of the front of the cell, the leading edge where the actin cytoskeleton and cell-substrate adhesions undergo constant rearrangement. Rho family GTPases are essential regulators of the actin cytoskeleton and cell adhesion dynamics. Here, we examined the role of the RhoGEF TEM4, an activator of Rho family GTPases, in regulating cellular migration of endothelial cells. We found that TEM4 promotes the persistence of cellular migration by regulating the architecture of actin stress fibers and cell-substrate adhesions in protruding membranes. Furthermore, we determined that TEM4 regulates cellular migration by signaling to RhoC as suppression of RhoC expression recapitulated the loss-of-TEM4 phenotypes, and RhoC activation was impaired in TEM4-depleted cells. Finally, we showed that TEM4 and RhoC antagonize myosin II-dependent cellular contractility and the suppression of myosin II activity rescued the persistence of cellular migration of TEM4-depleted cells. Our data implicate TEM4 as an essential regulator of the actin cytoskeleton that ensures proper membrane protrusion at the leading edge of migrating cells and efficient cellular migration via suppression of actomyosin contractility.

  • ICC
  • WB
  • Homo sapiens (Human)
View this product on CiteAb