Product Citations: 105

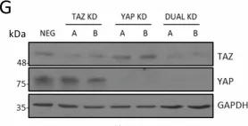
Vasopressin-Sensitive Aqp2 Regulation Mediated by the TAZ-NR4A1 Axis in Renal Collecting Duct Cells.

In The FASEB Journal on 15 July 2025 by Choi, H. S., Jang, H. J., et al.

Regulation of aquaporin-2 (Aqp2) gene is essential for body water homeostasis. This study investigated how TAZ (a transcriptional coactivator with PDZ-binding motif, Wwtr1) controls vasopressin-driven AQP2 expression. AQP2 expression was studied using collecting duct-specific TAZ-knockout (TAZf/f; HoxB7Cre) mice and siRNA-mediated knockdown of TAZ in vasopressin-responsive mpkCCDc11 cells. Downstream factors of TAZ were identified using transcriptomics and bioinformatics. The TAZf/f; HoxB7Cre mice demonstrated polyuria and a significant decrease in AQP2 abundance in the kidney cortex and the outer medulla. dDAVP treatment (10-9 M, 24 h) on mpkCCDc11 cells significantly increased AQP2 mRNA and protein levels. However, siRNA-mediated TAZ knockdown (TAZ-KD) markedly attenuated these effects without affecting cAMP levels. Immunocytochemical analysis revealed a substantial decrease in AQP2 immunolabeling intensity in TAZ-KD cells following dDAVP stimulation. RNA sequencing analysis identified 1370 and 1985 differentially expressed genes in TAZ-KD cells under basal conditions and after dDAVP treatment, respectively. Among 17 previously identified transcription factor (TF) candidates, seven (Nr4a1, Cebpb, Mef2d, Elf3, Klf5, Junb, Stat3) were significantly upregulated by dDAVP in either control or TAZ-KD conditions. Among them, RT-qPCR analysis identified Nr4a1 as a TAZ-dependent TF, and immunoblotting revealed reduced NR4A1 protein levels in TAZ-KD cells upon dDAVP stimulation. This finding suggests its role as a TAZ-regulated target in dDAVP response pathway. Accordingly, Nr4a1-KD reduced the dDAVP-induced upregulation of Aqp2 mRNA and protein. KEGG pathway enrichment analysis revealed that HIF-1 signaling and glycolysis as central pathways affected by TAZ. TAZ-NR4A1 axis acts as a novel transcriptional regulatory mechanism in controlling vasopressin-mediated AQP2 expression.
© 2025 The Author(s). The FASEB Journal published by Wiley Periodicals LLC on behalf of Federation of American Societies for Experimental Biology.

  • Endocrinology and Physiology

C1orf50 Drives Malignant Melanoma Progression Through the Regulation of Stemness.

In Cancer Genomics Proteomics on 26 June 2025 by Otani, Y., Maekawa, M., et al.

Recent advancements in omics analysis have significantly enhanced our understanding of the molecular pathology of malignant melanoma, leading to the development of novel therapeutic strategies that target specific vulnerabilities within the disease. Despite these improvements, the factors contributing to the poor prognosis of patients with malignant melanoma remain incompletely understood. The aim of this study was to investigate the role of C1orf50 (Chromosome 1 open reading frame 50), a gene previously of unknown function, as a prognostic biomarker in melanoma.
We performed comprehensive transcriptome data analysis and subsequent functional validation of the human Skin Cutaneous Melanoma project from The Cancer Genome Atlas (TCGA).
Elevated expression levels of C1orf50 correlated with worse survival outcomes. Mechanistically, we revealed that C1orf50 plays a significant role in the regulation of cell cycle processes and cancer cell stemness, providing a potential avenue for novel therapeutic interventions in melanoma.
This study is the first to identify C1orf50 as a prognostic biomarker in melanoma. The clinical relevance of our results sheds light on the importance of further investigation into the biological mechanisms underpinning C1orf50's impact on melanoma progression and patient prognosis.
Copyright © 2025, International Institute of Anticancer Research (Dr. George J. Delinasios), All rights reserved.

  • Cancer Research

Transcriptional coactivator with PDZ-binding motif (TAZ) functions as a transcriptional coactivator, which shuttles between the cytoplasm and the nucleus under the Hippo signaling. It is known to be involved in promoting cell proliferation, organ overgrowth, survival to stress, and dedifferentiation by interacting with TEAD transcription factors (TEADs). However, the regulation of TAZ by intrauterine hormones has not yet been investigated. In this study, we investigated TAZ expression during the estrous cycle in the normal mouse uterus and the effect of estrogen and progesterone on TAZ expression in the ovariectomized (OVX) mouse uterus. TAZ expression levels did not show a statistically significant change in the uterus during the estrous cycle. However, immunofluorescence revealed that TAZ nuclear localization significantly increased at the estrus stage. In the OVX mouse uterus, the expression levels of TAZ mRNA and protein dramatically increased in a time-dependent manner after estrogen treatment. Also, immunofluorescence showed that the nuclear TAZ expression increased at 6 h and 12 h after estrogen treatment compared to the oil treated OVX mouse uterus (0 h). Finally, pretreatment of an estrogen receptor (ER) antagonist ICI 182,780 efficiently reduced estrogen-induced TAZ expression. However, progesterone did not significantly affect the expression of TAZ in both mRNA and protein levels. In conclusion, TAZ expression is regulated and activated by estrogen through nuclear estrogen receptors, ERα, and ERβ in the uterine environment.
© Copyright 2025 The Korean Society of Developmental Biology.

  • WB
  • Biochemistry and Molecular biology
  • Endocrinology and Physiology

YAP/TEAD4/SP1-induced VISTA expression as a tumor cell-intrinsic mechanism of immunosuppression in colorectal cancer.

In Cell Death and Differentiation on 1 May 2025 by Zhu, Z., Ding, R., et al.

Hyperactivation of the YAP/TEAD transcriptional complex in cancers facilitates the development of an immunosuppressive tumor microenvironment. Herein, we observed that the transcription factor SP1 physically interacts with and stabilizes the YAP/TEAD complex at regulatory genomic loci in colorectal cancer (CRC). In response to serum stimulation, PKCζ (protein kinase C ζ) was found to phosphorylate SP1 and enhance its interaction with TEAD4. As a result, SP1 enhanced the transcriptional activity of YAP/TEAD and coregulated the expression of a group of YAP/TEAD target genes. The immune checkpoint V-domain Ig suppressor of T-cell activation (VISTA) was identified as a direct target of the SP1-YAP/TEAD4 complex and found to be widely expressed in CRC cells. Importantly, YAP-induced VISTA upregulation in human CRC cells was found to strongly suppress the antitumor function of CD8+ T cells. Consistently, elevated VISTA expression was found to be correlated with hyperactivation of the SP1-YAP/TEAD axis and associated with poor prognosis of CRC patients. In addition, we found by serendipity that enzymatic deglycosylation significantly improved the anti-VISTA antibody signal intensity, resulting in more accurate detection of VISTA in clinical tumor samples. Overall, our study identified SP1 as a positive modulator of YAP/TEAD for the transcriptional regulation of VISTA and developed a protein deglycosylation strategy to better detect VISTA expression in clinical samples. These findings revealed a new tumor cell-intrinsic mechanism of YAP/TAZ-mediated cancer immune evasion.
© 2025. The Author(s).

  • PLA
  • Cancer Research
  • Cell Biology

Multiple mechanisms were proposed to mediate the nuclear import of TAZ/YAP, transcriptional co-activators regulating organ growth and regeneration. Our earlier observations showed that TAZ/YAP harbor a C-terminal, unconventional nuclear localization signal (NLS). Here, we show that this sequence, necessary and sufficient for basal, ATP-independent nuclear import, contains an indispensable central methionine flanked by negatively charged residues. Based on these features, we define the M-motif and propose that it is a new class of NLS, also present and import-competent in other cellular (STAT1 and cyclin B1) and viral (ORF6 of SARS-CoV2, VSV-M) proteins. Accordingly, ORF6 SARS-Cov2 competitively inhibits TAZ/YAP uptake, while TAZ abrogates STAT1 import. Similar to viral M-motif proteins, TAZ binds RAE1 and inhibits classic nuclear protein import, including that of antiviral factors (IRF3 and NF-κB). However, RAE1 is dispensable for TAZ import itself. Thus, the TAZ/YAP NLS has a dual function: it mediates unconventional nuclear import and inhibits classic import, contributing to the suppression of antiviral responses.
© 2025 The Authors.

  • Immunology and Microbiology
View this product on CiteAb