Product Citations: 7

Powered by

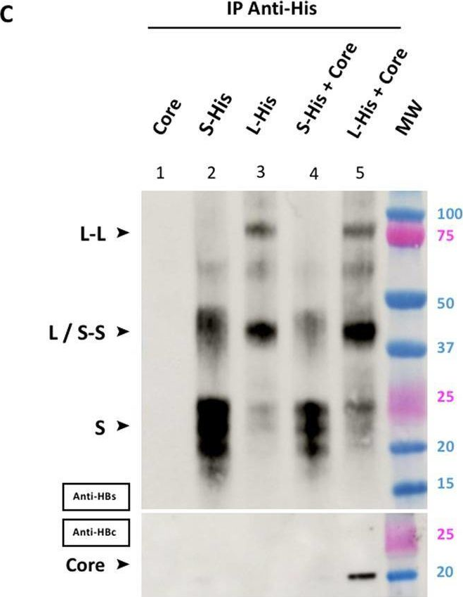
The HBV large envelope protein initiates virion assembly by recruiting capsids at membrane rich domains related to late endosome.

In Cellular and Molecular Life Sciences : CMLS on 24 March 2025 by Seigneuret, F., Eymieux, S., et al.

A crucial step of HBV (Hepatitis B Virus) virion morphogenesis is the envelopment of the nucleocapsid by the viral envelope proteins, which is triggered by an interaction between the HBV core protein and the large HBV envelope protein. To document this protein-protein interaction, we co-expressed core and large HBV envelope (LHBs) in Huh-7 cells and subjected the cells to microscopy examination by Fluorescence Resonance Energy Transfer (FRET) and Transmission Electron Microscopy (TEM). Our results show that the sole expression of the core protein leads to assembly of capsids that remain individually isolated within the whole cell, but particularly within the nucleus. In the presence of LHBs, capsids were observed as large clusters in a membrane rich region peripheral to the nucleus. In this context, core-LHBs complex co-localize with markers of the late endosome/multivesicular bodies, this co-localization being driven by LHBs. These results thus show that LHBs binds to the core proteins when preassembled into capsid, at membranes of the late endosome, where the inner capsid and the outer envelope meet to assemble a virion.
© 2025. The Author(s).

A human monoclonal antibody against HBsAg for the prevention and treatment of chronic HBV and HDV infection.

In JHEP Reports (Online) on 1 March 2023 by Burm, R., Van Houtte, F., et al.

Elimination of chronic HBV/HDV infection remains a major global health challenge. Targeting excessive hepatitis B surface antigen (HBsAg) release may provide an interesting window of opportunity to break immune tolerance and to achieve a functional cure using additional antivirals.
We evaluated a HBsAg-specific human monoclonal antibody, as part of either a prophylactic or therapeutic strategy, against HBV/HDV infection in cell culture models and in human-liver chimeric mice. To assess prophylactic efficacy, mice were passively immunized prior to infection with HBV or HBV/HDV (coinfection and superinfection setting). Therapeutic efficacy was assessed in HBV and HBV/HDV-coinfected mice receiving 4 weeks of treatment. Viral parameters (HBV DNA, HDV RNA and HBsAg) were assessed in mouse plasma.
The antibody could effectively prevent HBV/HDV infection in a dose-dependent manner with IC50 values of ∼3.5 ng/ml. Passive immunization showed complete protection of mice from both HBV and HBV/HDV coinfection. Moreover, HDV superinfection was either completely prevented or at least attenuated in HBV-infected mice. Finally, antibody treatment in mice with established HBV/HDV infection resulted in a significant decline in viremia and a concomitant drop in on-treatment HBsAg, with a moderate viral rebound following treatment cessation.
We present data on a valuable antibody candidate that could complement other antivirals in strategies aimed at achieving functional cure of chronic HBV and HDV infection.
Patients chronically infected with HBV may eventually develop liver cancer and are at great risk of being superinfected with HDV, which worsens and accelerates disease progression. Unfortunately, current treatments can rarely eliminate both viruses from chronically infected patients. In this study, we present data on a novel antibody that is able to prevent chronic HBV/HDV infection in a mouse model with a humanized liver. Moreover, antibody treatment of HBV/HDV-infected mice strongly diminishes viral loads during therapy. This antibody is a valuable candidate for further clinical development.
© 2022 The Authors.

Incorporation of apolipoprotein E into HBV-HCV subviral envelope particles to improve the hepatitis vaccine strategy.

In Scientific Reports on 8 November 2021 by Gomez-Escobar, E., Burlaud-Gaillard, J., et al.

Hepatitis C is a major threat to public health for which an effective treatment is available, but a prophylactic vaccine is still needed to control this disease. We designed a vaccine based on chimeric HBV-HCV envelope proteins forming subviral particles (SVPs) that induce neutralizing antibodies against HCV in vitro. Here, we aimed to increase the neutralizing potential of those antibodies, by using HBV-HCV SVPs bearing apolipoprotein E (apoE). These particles were produced by cultured stable mammalian cell clones, purified and characterized. We found that apoE was able to interact with both chimeric HBV-HCV (E1-S and E2-S) proteins, and with the wild-type HBV S protein. ApoE was also detected on the surface of purified SVPs and improved the folding of HCV envelope proteins, but its presence lowered the incorporation of E2-S protein. Immunization of New Zealand rabbits resulted in similar anti-S responses for all rabbits, whereas anti-E1/-E2 antibody titers varied according to the presence or absence of apoE. Regarding the neutralizing potential of these anti-E1/-E2 antibodies, it was higher in rabbits immunized with apoE-bearing particles. In conclusion, the association of apoE with HCV envelope proteins may be a good strategy for improving HCV vaccines based on viral envelope proteins.
© 2021. The Author(s).

Direct interaction between the hepatitis B virus core and envelope proteins analyzed in a cellular context.

In Scientific Reports on 7 November 2019 by Pastor, F., Herrscher, C., et al.

Hepatitis B virus (HBV) production requires intricate interactions between the envelope and core proteins. Analyses of mutants of these proteins have made it possible to map regions involved in the formation and secretion of virions. Tests of binding between core and envelope peptides have also been performed in cell-free conditions, to study the interactions potentially underlying these mechanisms. We investigated the residues essential for core-envelope interaction in a cellular context in more detail, by transiently producing mutant or wild-type L, S, or core proteins separately or in combination, in Huh7 cells. The colocalization and interaction of these proteins were studied by confocal microscopy and co-immunoprecipitation, respectively. The L protein was shown to constitute a molecular platform for the recruitment of S and core proteins in a perinuclear environment. Several core amino acids were found to be essential for direct interaction with L, including residue Y132, known to be crucial for capsid formation, and residues L60, L95, K96 and I126. Our results confirm the key role of L in the tripartite core-S-L interaction and identify the residues involved in direct core-L interaction. This model may be valuable for studies of the potential of drugs to inhibit HBV core-envelope interaction.

Discordant diagnostic results due to a hepatitis B virus T123A HBsAg mutant.

In Diagnostic Microbiology and Infectious Disease on 1 July 2016 by Osiowy, C., Kowalec, K., et al.

HBsAg immunoassay results are occasionally discordant among primary and confirmatory assays or with respect to other markers of HBV infection. Such discordance has been observed repeatedly in Canada with samples having a mutation at HBsAg codon 123 (sT123A). Detection of recombinant expressed HBsAg protein having either sT123 or sA123 was evaluated with one manual and six automated HBsAg immunoassays. The recombinant mutant HBsAg was non-reactive by Abbott AxSYM, while the Abbott ARCHITECT Quantitative and Qualitative II, ADVIA Centaur, and VITROS ECi detection signal was reduced compared with the wild-type protein, approaching the assay cut-off for certain assays, dependent upon the level of protein. The Roche Elecsys and manual immunoassays detected both wild-type and mutant proteins comparatively. The sT123A mutation leads to loss of detection by immunoassays commonly used in Canadian diagnostic laboratories, which may produce misleading results and diagnoses.
Crown Copyright © 2016. Published by Elsevier Inc. All rights reserved.

View this product on CiteAb